Veneers Epping, NH
Transform Your Smile With Confidence
- Safe, Biocompatible, Materials 
- Board-Certified Naturopathic Expertise 
- Partnership With Top Ceramists 
- Advanced Technology 

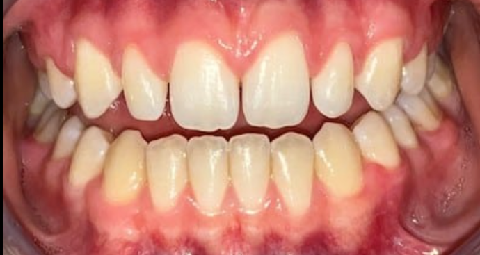
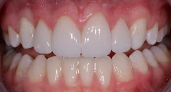
The Power of Porcelain Dr. Johnson Works Wonders With Veneers
Dr. Tamatha Johnson helped this patient's smile go from worn and uneven to bright and balanced. This dramatic upgrade shows how porcelain veneers by Dr. Johnson can restore confidence while providing an exceptionally natural appearance.

Time to Love Your Smile Again
Porcelain veneers are one of the fastest and most effective ways to transform your smile. They can repair chips, disguise discoloration, close small gaps, and improve the look of slightly crooked teeth. If whitening has not worked for you, or if orthodontics feels like too much, veneers may provide the solution you are looking for. With the guidance of a board-certified naturopathic dentist, you can enjoy a smile makeover that is as healthy as it is beautiful. Get in touch with Dr. Johnson's office today!
 
“The best dental experience.”
"I've been going here for years and it is by far the best dental experience I've had. The staff is extremely friendly and truly care about the comfort and well being of their patients." — Charles, 5-Star Review
What Can Veneers Repair?
Porcelain veneers can quickly and effectively improve:
- Discolored teeth that do not respond to whitening 
- Chipped or worn teeth 
- Minor misalignment or crookedness 
- Small gaps between teeth 
Dr. Johnson carefully screens every patient to ensure veneers are right for them. If they are not the best choice, she will guide you toward another path to your dream smile.

          
        How the Veneer Process Works
       
          
1. Consultation and Exam
We begin with a detailed evaluation of your teeth and gums. Dr. Johnson will discuss your goals and ensure your mouth is healthy enough for veneers.
2. Enamel Preparation
A thin layer of enamel is gently reshaped to make room for your veneers. This step preserves as much of your natural tooth as possible.
3. Digital Impressions
We take precise scans of your teeth to create a perfect model for your custom veneers.
4. Custom Fabrication
Our partner ceramists handcraft veneers that match the shade, size, and shape of your natural smile.
5. Placement and Bonding
The veneers are bonded with a safe, biocompatible adhesive and adjusted for comfort and fit.
6. Final Polishing
Your new smile is polished until it looks bright, natural, and harmonious.
 
Caring for Your Veneers
Caring for veneers is simple. Brush with a non-abrasive toothpaste, floss daily, and visit us for your regular checkups. If you grind your teeth, we may recommend a nightguard or retainer to keep your veneers in excellent condition for years to come.
"It’s like a dental spa!"
"Dr. Johnson and her team are always welcoming and make you feel at peace. It’s like taking a trip to the dental spa! Everyone is very knowledgeable and I know my health is always in good hands here." — Amanda, 5-Star Review
FAQs About Veneers in Epping, NH
How long will porcelain veneers last?
With proper care, veneers placed by Dr. Johnson often last 10 to 15 years or more. Regular checkups will help extend their life.
Will veneers harm my natural teeth?
No. Only a very small amount of enamel is removed. Dr. Johnson is careful to preserve as much natural structure as possible.
Will they look like real teeth?
Yes. Because we work with world-class ceramists, your veneers will match the shade and shape of your surrounding teeth so no one will know the difference.
Is the procedure uncomfortable?
Most patients find the process easy and experience little to no discomfort. Our advanced technology and gentle approach make treatment smooth.
Am I a good candidate for veneers?
If you have healthy teeth and gums, veneers by Dr. Johnson may be an excellent solution for improving your smile. We can confirm this during your consultation.
Will my veneers stain?
Porcelain veneers are highly resistant to staining from coffee, wine, and everyday foods. With regular brushing and professional cleanings, your veneers will stay bright and beautiful for years. However, you must remember that surrounding natural teeth remain as vulnerable to staining as ever. By being mindful of the foods you eat and taking care to rinse and brush after enjoying dark-pigmented foods, your upgraded smile can stay radiant for years to come.


